
Cuidado vascular especializado para ti
Atendemos problemas de arterias, venas y linfáticos con profesionalismo.
Cirugía vascular
Soluciones efectivas para problemas circulatorios complejos
Consulta angiológica (Arterial y Venosa)
Evaluación y diagnóstico de enfermedades vasculares
Tratamientos endovasculares
Intervenciones mínimamente invasivas y seguras
Bienvenidos a Dra. Marycarmen Mendoza Silva-Cirujana Vascular
Especialistas en problemas de arterias, venas y vasos linfáticos. Nuestro compromiso es brindar atención de calidad y soluciones efectivas para su salud vascular.


Servicios Especializados
Atendemos problemas de arterias, venas y vasos linfáticos con atención profesional y personalizada.




Cirugía Vascular
Ofrecemos soluciones quirúrgicas para tratar enfermedades vasculares y mejorar la salud circulatoria.
Angiología Avanzada
Diagnóstico y tratamiento de trastornos vasculares para garantizar el bienestar de nuestros pacientes.
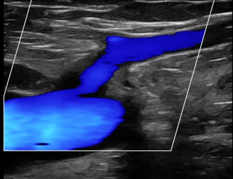
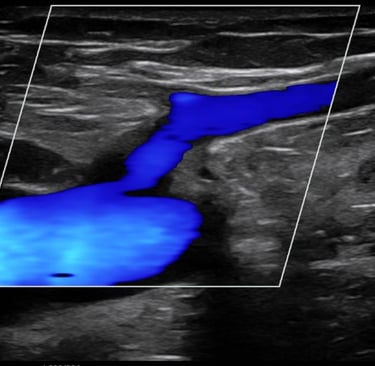
Galería












Imágenes de nuestros tratamientos en angiología y cirugía vascular.
ESCLEROTERAPIA
Salud
Cuidamos tus arterias, venas y vasos linfáticos.
Expertos
Atención
mcmary91@gmail.com
Whatsapp 8180839847
© 2025. All rights reserved.
COFEPRIS 2519022002A00073
